Top Rated Dentist Bartonsville, PA
Gary Burkhart DMD proudly provides complete preventive, cosmetic, and restorative dental services for our patients of all ages. Dr. Burkhart combines precision techniques and years of experience with a gentle and compassionate manner to make your dental experience as pleasant and relaxing as possible.
Our Bartonsville dentistry practice is dedicated to providing you with personalized care in a friendly, caring, thorough, comfortable, and efficient manner.
What We Do
Our Services
They Love Us
Testimonials
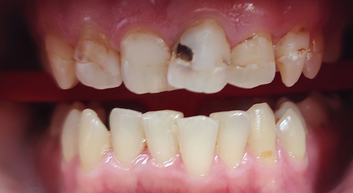
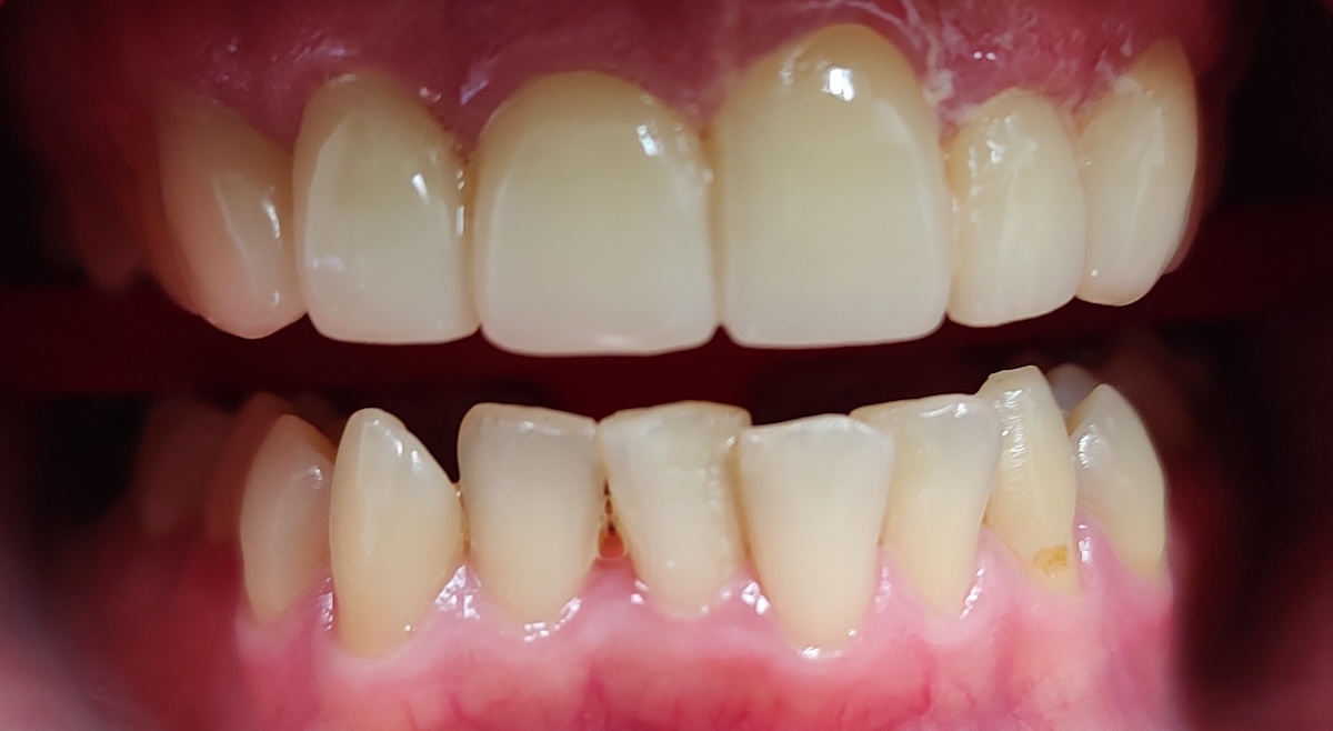
A Higher Standard of Dental Care
Choosing the right dental provider is an important decision for your health and confidence. At Gary Burkhart DMD, we’re dedicated to delivering exceptional care that goes above and beyond. Here’s why patients choose us:
Experienced Doctor
With extensive experience and a gentle approach, our dentist is dedicated to delivering exceptional care that supports your long-term oral health and comfort.
Friendly Staff
Our friendly staff is here to make you feel welcome from the moment you arrive, ensuring every visit is comfortable and stress-free.
Modern Office
We’ve created a modern, welcoming office environment enhanced with advanced dental equipment for the highest level of accuracy and patient comfort.
Associations
Trusted Partners in Dental Care